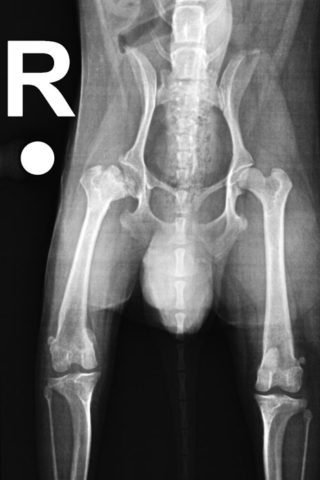
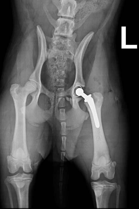
Der plüschige Milos ist unser kleinster Patient mit einer Kunsthüfte. Nur 2,2 Kilo brachte der Zwergspitz auf die Waage, als seine Halter mit ihm aus Berlin zur OP anreisten. Milos litt am Morbus Perthes, einer Jungtiererkrankung, bei der noch in der Wachstumsphase das Knochengewebe im Oberschenkelkopf abstirbt. Auslöser ist eine Durchblutungsstörung, deren Ursache nicht eindeutig geklärt ist. Bevorzugt sind Hunde kleiner Rassen betroffen. Typisch für die Erkrankung sind Schmerzen und zunehmende Lahmheit, die Milos’ Halter an ihrem Liebling beobachtet hatten. Doch erst nach einer Odyssee von Tierarzt zu Tierarzt wurde die richtige Diagnose gestellt. Eine OP war auch in Milos’ Fall unausweichlich. Eine Option war die Operation einer Hängehüfte durch Entfernung des erkrankten Knochengewebes. Doch auf Empfehlung eines Kleintierchirurgen aus Brandenburg wandten sich Milos’ Halter an Dr. Klaus Zahn, der als einer der wenigen Spezialisten in Deutschland auch Nanohüften operieren kann. Angesichts des zarten Körperbaus des Pomeranian war der Eingriff nicht ohne Risiko. Präzisionsarbeit auf kleinstem Raum war gefragt. Extrem vorsichtig, regelrecht zärtlich präparierte D. Klaus Zahn die filigranen Hüft- und Oberschenkelknochen und setzte den neuen nur 10 Millimeter großen Kopf mit Schaft ein. An der Spitze hatte der Prothesenschaft sogar nur 2 Millimeter Durchmesser. Milos hat den Eingriff gut überstanden. Schon sechs Tage später hatte er wieder Kraft in der Hüfte und bellte großspurig Paketboten an.

Vor der OP: Oberschenkelkopf löst sich auf.

Röntgenbild nach der OP: neues Hüftgelenk mit 10 Millimeter großem Oberschenkelkopf.