
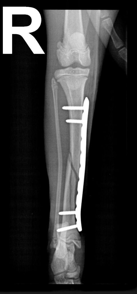
Babykatze Lisa lief nur noch auf drei Beinen, als unsere Notärztin sie untersuchte. Ursache war ein Schienbeinbruch. „Wahrscheinlich ist sie aus zu großer Höhe gesprungen“, vermutet ihre Halterin. „Sie ist ja auch ein richtiger Wildfang.“ Um die natürliche Knochenheilung zu fördern, riet unsere Chirurgin Dr. Anna Layer zu einer minimalinvasiven Platten-Osteosynthese, kurz MIPO.
Diese OP-Technik verzichtet auf große Hautschnitte an der Bruchstelle. Statt dessen schiebt der Operateur über kleine Öffnungen eine Metallplatte unter der Muskulatur und auf der Knochenhaut über die Fraktur und verschraubt diese unter- und oberhalb der Bruchstelle. „Die Methode ist sehr weichteil- und knochenschonend, daher verringert sie das Infektionsrisiko und verursacht weniger Schmerzen“, erklärt die Ärztin.
Allerdings braucht ein Chirurg dafür viel Erfahrung und eine entsprechende technische Ausstattung. Denn um das Implantat optimal platzieren zu können, musste Dr. Layer über einen Röntgendurchleuchter den Eingriff live verfolgen. Außerdem eignet sich nicht jeder Knochen und nicht jede Fraktur für das MIPO-Verfahren. „Brüche mit Gelenkbeteiligung zum Beispiel müssen wir anders behandeln“, sagt die Ärztin.

Für Lisa jedenfalls war die OP ein Segen, auch wenn die vier Wochen Schonzeit schwer für sie waren. Heute jagt sie wieder Mäusen hinterher und klettert auf Bäume, als ob nie etwas gewesen wäre. Trotzdem muss sie noch einmal zu Dr. Layer auf den OP-Tisch: „Bei Jungtieren sollten man das Implantat immer entfernen. Je nach Knochenheilung raten wir acht bis zwölf Wochen nach dem Eingriff dazu.“ Doch das Tolle ist: Auch dafür müssen bei Lisas-Versorgungstechnik wieder nur zwei Mini-Schnitte gemacht werden. Eine Ruhighaltung ist danach nicht mehr notwendig.