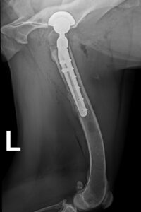
Hinter Neela lagen qualvolle Wochen, als sie bei uns vorgestellt wurde. Denn obwohl das Tier starke Opiate und hochdosierte Schmerzmittel bekam, konnte es kaum mehr laufen (siehe Video). „Wir hatten schon darüber nachgedacht, sie zu erlösen, so verzweifelt waren wir“, erinnert sich ihre Halterin. Dabei hatte sie nur das Beste für ihren hüftkranken Liebling gewollt – und der Hündin ein gutes Jahr zuvor in einer anderen Tierklinik ein zementiertes neues Hüftgelenk einsetzen lassen. Allerdings machten damals schon Komplikationen zwei Nachoperationen nötig, wie Neelas Frauchen erzählt. Monate vergingen und Neela ging es gut, bis es eines Morgens ein böses Erwachen gab: Die Mischlingshündin konnte kaum noch aufstehen und ihr operiertes Bein belasten. Da halfen schließlich auch die ganzen Medikamente nichts. In ihrer Not wandte sich Neelas Besitzerin an die Tierklinik Ismaning und Chefarzt Dr. Klaus Zahn, der schon viele schwierige Fälle erfolgreich operiert hat. Nach dem Röntgen war klar: Die zementierte Kunsthüfte hatte sich gelockert (siehe Röntgenbild 1 und 2). Zum Glück für Neela war es eine „aseptische Lockerung“ ohne Beteiligung von Bakterien. Dennoch bestand ein nicht geringes Risiko, die Zementreste nicht restlos entfernen und eine zementfreie Hüfte in den teils durchlöcherten Knochen stabil einsetzen zu können.
Die Hundehalterin vertraute auf die langjährige Erfahrung von Dr. Klaus Zahn und seinem Team und willigte in die hoch komplizierte Revisionsoperation ein. Allein zwei Stunden brauchte er, um vorsichtig die vorherige Hüftprothese und alle Zementreste aus dem geschwächten Knochen zu entfernen. Schließlich musste die malträtierte Knochenmarkhöhle zur Durchblutungsförderung noch aufgefrischt und körpereigenes Knochenmark eingebracht werden, um eine schnelle Integration der neuen, zementfreien Titanhüfte zu ermöglichen (siehe Röntgenbild 3). Nach der OP hat Neela sehr schnell gute Fortschritte gemacht und lief bereits nach zwei Wochen ohne Schmerzmittel. Nach nun sieben Wochen ist klar, dass die Titanhüfte komplikationslos integriert wurde (siehe Röntgenbild 4 und Video). Dass Neela das Bein wieder deutlich mehr belastet, zeigt sich schon allein daran, dass der Muskelschwund zunehmend weniger wird. Die Halterin ist überglücklich und unendlich dankbar dafür, dass Neela nun schmerzfrei weiterleben kann!



