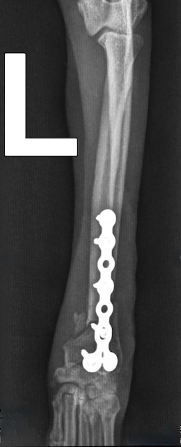
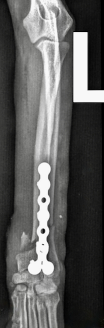
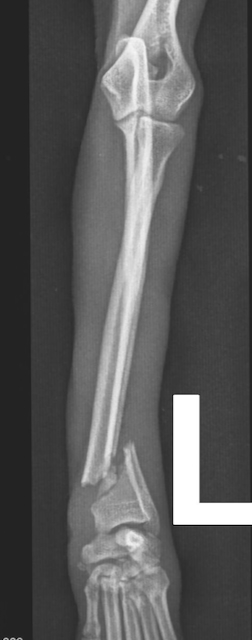
Der Unfall war typisch für Zwerghunde. Aufgeregt war Hugo (Name geändert) so lange zwischen den Beinen seines Halters herumgewuselt, bis dieser ihm aus Versehen aufs Beinchen trat. Die Folge: Der gerade mal 2,3 Kilo schwere Prager Rattler landete mit einem offenen Unterarmbruch auf dem OP-Tisch von Dr. Klaus Zahn. Mit einer feinen, dem zarten Körperbau angemessenen Platte versorgte dieser die Fraktur, und Hugo wurde nach Hause entlassen.
Doch drei Wochen später wurde der kleine Hund erneut im Notdienst vorgestellt: Beim Gassigehen hatte er auf einmal gelahmt. Die Ursache: ein Ermüdungsbruch der Metallplatte. „An Hugo sieht man, was passiert, wenn der tierärztliche Rat zur Ruhigstellung nicht befolgt wird“, sagt Dr. Klaus Zahn. „Übermäßige Aktivität hatte die Platte überlastet.“ Denn der Prager Rattler durfte viel zu früh wieder frei im Zimmer herumlaufen und sogar vom Sofa springen. „So kleine Hunde gehören für vier bis sechs Wochen in einen Laufstall, damit die Knochen stabil heilen können“, erklärt der Orthopäde.
Bei der Nachoperation setzte Chirurg Maximilian Herion statt der gebrochenen Platte eine identische neue ein. Die Verwendung eines dickeren Implantats verbot sich wegen Hugos filigranem Knochen. Auch diesmal verlief die OP erfolgreich. So dass wir Hugo samt Herrchen mit guten Wünschen und einer erneuten Ermahnung, den Hund in einem Kinderlaufstall oder Käfig zu halten, nach Hause verabschieden konnten.



