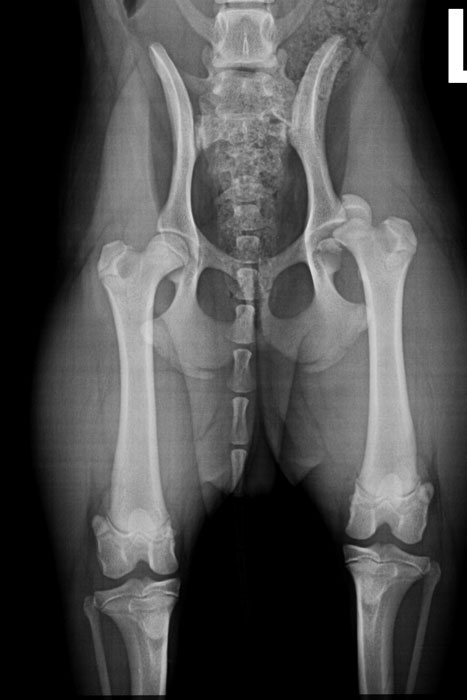
Schöner Rekord in der Tierklinik Ismaning: Chefchirurg Dr. Klaus Zahn hat vor Kurzem die 70. Mikrohüfte implantiert. Als einer der wenigen Spezialisten in Deutschland verfügt der Orthopäde über das nötige Know-How im Umgang mit den Mini-Implantaten, um auch kleine Hunde und Katzen prothetisch versorgen zu können. Patient Nr. 70 war die gerade mal sieben Kilo schwere Jana. Der Jagdterrier war beim Gassigehen über die Felder geprescht und auf drei Beinen humpelnd zurückgekommen. „Wahrscheinlich ist Jana beim Rennen irgendwo hängengeblieben“, vermutet ihr Halter. Auf jeden Fall hatte sich der Welpe die linke Hüfte ausgerenkt, wobei auch noch der Oberschenkelkopf in drei Teile zerbrochen war. Durch das künstliche Hüftgelenk wird das sieben Monate alte Tier trotz der Schwere der Verletzung aber ein aktives und schmerzfreies Leben führen können. Schon drei Wochen nach der OP hatte ihr Halter alle Mühe den Welpen ruhig zu halten. Froh ist er über das wöchentliche Training auf dem Unterwasserlauf, das die Tierklinik anbietet. „Das dient der Reha und lastet Jana auch aus.“

