Spezialfall für Chirurgie und Anästhesie
Meerschweinchen Stöpsel, fünf Jahre alt und kastriert, kam als Notfall in die Tierklinik Ismaning. Der kleine Patient konnte keinen Urin mehr absetzen, fraß nichts mehr und hatte einen schmerzhaften Bauch. Seine Besitzerin hatte sofort reagiert: Nachdem der Haustierarzt erste Auffälligkeiten festgestellt hatte, wurde Stöpsel direkt in die Klinik überwiesen. Der Verdacht: ein Harnstein.
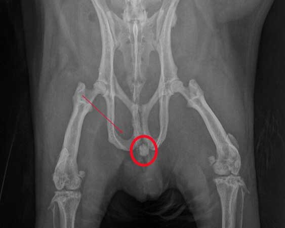
Nach Röntgenaufnahmen war schnell klar: Ein großer Harnstein hatte sich im Bereich des Beckens festgesetzt. Der zusätzliche Ultraschall zeigte freie Flüssigkeit im Bauchraum. Das ist ein Hinweis auf eine mögliche Harnblasenruptur. Kann der Urin nicht mehr abfließen, besteht im schlimmsten Fall die Gefahr, dass die Blase reißt. Der Harn kann sich aber auch bis in die Nieren zurückstauen und zum Nierenversagen führen. Es musste also schnell gehandelt werden.

Foto: KI-generiert
Schwierige Anatomie beim männlichen Meerschweinchen
„Bei Meerschweinchen sind solche Harnsteine leider gar nicht so selten, und beim Männchen besonders heikel“, erklärt Judith Führer, die als diensthabende Chirurgin in Rufbereitschaft Stöpsels Versorgung übernahm. Denn im Gegensatz zu den weiblichen Tieren ist die Harnröhre beim Männchen sehr eng und verläuft in einer S-Form. Wenn sich ein Stein darin verkeilt, gibt es nur zwei Möglichkeiten: Entweder der Stein sitzt so weit vorne, dass man ihn über die Harnröhre entfernen kann, oder man muss in Narkose einen Katheter legen, den Stein zurück in die Blase spülen und operativ entfernen. Wenn beide Methoden nicht funktionieren, bleibt leider nur die Euthanasie.
Rückspülen mit Katheder als einzige Option
Bei Stöpsel war der Harnstein ziemlich groß, fast einen halben Zentimeter, und in einer äußerst ungünstigen Position in der Harnröhre verkeilt. Er war nicht mehr in der Blase, aber auch noch nicht in der Nähe der Penisspitze, wo man ihn hätte leichter entfernen können. Eine Operation war bei dieser Lage nicht möglich. Judith Führers Ziel war es also, den Stein zunächst vorsichtig mit einem Katheter in die Blase zurück zu spülen. Das birgt bei männlichen Meerschweinchen zusätzlich Schwierigkeiten, denn sie haben zwei Öffnungen am Penis, man muss also sehr genau wissen, wohin man den Katheter führt.


Vollnarkose unter erschwerten Bedingungen
Was bei Hund und Katze Routine ist, wird beim Meerschweinchen zur Herausforderung: Die Heimtiere dürfen vor einer OP nicht nüchtern sein, haben im Verhältnis zur Größe des Brauchraumes einen sehr kleinen Brustkorb und verkraften deshalb Narkosen deutlich schlechter. „Meerschweinchen lassen sich nur schwer intubieren“, erklärt die Tierärztin. „Wir haben deshalb über je eine Nasensonde Sauerstoff zugeführt und den CO₂-Gehalt überwacht. Zusätzlich gab es EKG, Pulsoxymetrie und Temperaturkontrolle, damit wir jederzeit reagieren konnten.“
Minimalinvasives Kathetermanöver mit Fingerspitzengefühl
Im Fall von Stöpsel hat alles geklappt: Nach erfolgreichem Rückspülen konnte der Stein durch einen kleinen Bauchschnitt entfernt werden. Die Blase wurde geöffnet, der Stein entnommen und die Wunde sorgfältig verschlossen. Die gute Nachricht dabei: Die Blase war zuvor noch intakt, was die Prognose erheblich verbessert. Bereits am nächsten Tag konnte Stöpsel wieder eigenständig Harn absetzen, zeigte Appetit und wurde mit gutem Allgemeinbefinden nach Hause entlassen. Auch beim Kontrollanruf am Folgetag war alles unauffällig.
Stöpsels Besitzer berichten: „Wir haben uns für den Eingriff entschieden, weil Stöpsel eigentlich ein gesundes, munteres Meerschweinchen ist – in der Hoffnung, dass es ihm danach weiterhin so gut geht. Er hat alles wunderbar überstanden – meine Tochter und ich sind überglücklich, dass es ihm so prima geht.“
Tipp für Meerschweinchenhalter:
Viele Heimtierhalter wissen nicht, wie gefährlich Harnsteine bei Meerschweinchen sein können und wie oft sie wegen falscher Fütterung vorkommen. Besonders bei wiederholter Gabe calciumreicher Kräuter, Pellets oder zu wenig Frischfutter steigt das Risiko. Das größte Problem: Calciumoxalatsteine – wie bei Stöpsel – lassen sich nicht auflösen. Sie müssen operativ entfernt werden.
